Khi thấy mèo bị trật khớp chân sau, chắc hẳn bất kỳ “sen” nào cũng sẽ cảm thấy lo lắng và xót xa cho người bạn bốn chân của mình. Tình trạng này không chỉ gây đau đớn dữ dội mà còn ảnh hưởng trực tiếp đến khả năng vận động tự nhiên vốn là bản năng của loài mèo. Việc nhận biết sớm các dấu hiệu lâm sàng, hiểu rõ căn nguyên và áp dụng phác đồ điều trị từ chuyên gia thú y là chìa khóa vàng để giúp “boss” nhanh chóng tìm lại những bước đi uyển chuyển. Bài viết này sẽ cung cấp cái nhìn sâu sắc về chuyên môn xương khớp mèo, cập nhật những công nghệ phẫu thuật tiên tiến nhất trong năm 2026.
Phẫu thuật điều trị mèo bị trật khớp chân sau tại bệnh viện thú y*Hình 1: Can thiệp ngoại khoa là giải pháp tối ưu cho các ca trật khớp nặng ở mèo.*
Nhận diện chính xác tình trạng mèo bị trật khớp chân sau
Khác với những chấn thương mô mềm thông thường, mèo bị trật khớp chân sau thường bộc lộ những triệu chứng mang tính chất cơ học rất rõ rệt. Bạn có thể quan sát thấy chân của mèo bị biến dạng, lệch góc so với cấu trúc xương thông thường. Boss sẽ có biểu hiện đi khập khiễng, thường xuyên co chân lên cao hoặc tuyệt đối không dám đặt bàn chân xuống đất để chịu lực.
Phân biệt trật khớp bánh chè và trật khớp háng
Trong y khoa thú y, trật khớp chân sau ở mèo thường chia thành hai loại phổ biến nhất:
- Trật xương bánh chè (Patellar Luxation): Đây là tình trạng xương bánh chè bị trượt ra khỏi rãnh ở đầu xương đùi. Mèo thường có biểu hiện đang đi bỗng nhiên “nhảy lò cò” một vài bước rồi lại đi lại bình thường do xương tự nhảy vào vị trí cũ.
- Trật khớp háng (Hip Luxation): Thường do chấn thương mạnh, chỏm xương đùi bị văng ra khỏi ổ cối của xương chậu. Đây là tình trạng cấp cứu, gây đau đớn tột độ và cần sự can thiệp từ bác sĩ thú y ngay lập tức để tránh hoại tử chỏm xương đùi.
Khi nào tình trạng trở nên nguy kịch?
Nếu bạn thấy vùng khớp sưng to, mèo lờ đờ hoặc bỏ ăn do đau, đó là tín hiệu đỏ. Cơn đau trong trường hợp mèo bị trật khớp chân sau có thể gây ra hiện tượng sốc do đau, làm nhịp tim tăng nhanh và thở gấp. Theo khuyến cáo từ PetMD, việc cố gắng tự nắn chỉnh khớp tại nhà là một sai lầm chết người, có thể làm tổn thương vĩnh viễn dây chằng hoặc gây gãy xương thứ phát.
Cận cảnh xương chân sau của mèo bị tổn thương*Hình 2: Hình ảnh mô phỏng cấu trúc xương khi mèo gặp sự cố về vận động.*
Những nguyên nhân hàng đầu khiến Boss bị tổn thương khớp
Hiểu được tại sao mèo bị trật khớp chân sau giúp chúng ta có kế hoạch phòng ngừa hiệu quả hơn. Thông thường, có ba nhóm nguyên nhân chính dẫn đến tình trạng này:
- Chấn thương vật lý: Đây là nguyên nhân phổ biến nhất. Những cú ngã từ ban công cao tầng (Hội chứng nhà cao tầng ở mèo), va chạm với phương tiện giao thông hoặc đơn giản là bị vật nặng rơi vào chân khi đang chơi đùa.
- Yếu tố di truyền và thoái hóa: Một số giống mèo như British Shorthair (Mèo Anh lông ngắn) hoặc Maine Coon có xu hướng gặp các vấn đề về khớp háng do cấu trúc cơ thể nặng nề hoặc gen di truyền. Khi mèo già đi, các dây chằng giữ khớp bị yếu dần, dẫn đến tình trạng trật khớp tự phát.
- Béo phì: “Boss” quá cân gây áp lực khủng khiếp lên các khớp chân sau. Chỉ cần một bước nhảy sai tư thế, trọng lượng cơ thể sẽ làm vặn xoắn khớp, khiến mèo bị trật khớp chân sau.
Pro Tip từ Pet Nhà Sen: Luôn kiểm tra cân nặng của mèo định kỳ. Một chú mèo có vòng eo rõ rệt sẽ giảm đến 60% nguy cơ mắc các bệnh về xương khớp so với mèo bị béo phì.
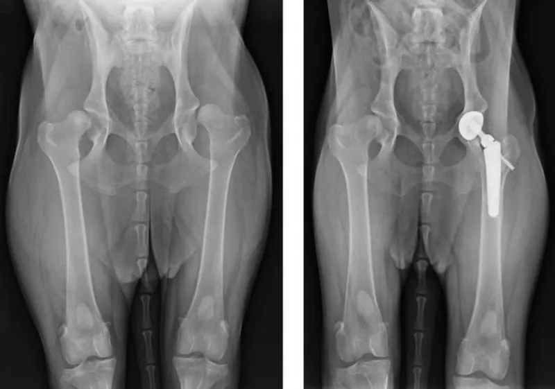
Phẫu thuật và các quy trình y khoa chuyên sâu
Khi các biện pháp bảo tồn như dùng thuốc giảm đau và hạn chế vận động không còn hiệu quả, phẫu thuật là lựa chọn bắt buộc để khôi phục chất lượng sống của thú cưng. Năm 2026, các công nghệ nội soi khớp tại các bệnh viện uy tín đã giúp giảm thiểu diện tích vết mổ và rút ngắn thời gian hồi phục khi mèo bị trật khớp chân sau.
Quy trình tiền phẫu nghiêm ngặt
Trước khi lên bàn mổ, mèo cần được thực hiện một loạt kiểm tra để đảm bảo an toàn tính mạng:
- Xét nghiệm máu tổng quát: Đánh giá chức năng gan, thận để lựa chọn loại thuốc gây mê phù hợp.
- Chụp X-quang kỹ thuật số: Xác định chính xác vị trí trật khớp và kiểm tra xem có mảnh xương vỡ nào hay không.
- Siêu âm tim: Đặc biệt quan trọng đối với các giống mèo dễ bị bệnh cơ tim phình đại (HCM).
Kiểm tra lâm sàng cho mèo trước khi can thiệp y tế*Hình 3: Chẩn đoán hình ảnh giúp xác định mức độ nghiêm trọng khi mèo bị trật khớp chân sau.*
Các kỹ thuật phẫu thuật phổ biến
Tùy vào tình trạng mèo bị trật khớp chân sau, bác sĩ sẽ chọn kỹ thuật:
- Tạo hình rãnh xương bánh chè: Khoét sâu thêm rãnh xương để xương bánh chè không còn bị trượt ra ngoài.
- Cắt chỏm xương đùi (FHO): Áp dụng cho trật khớp háng nặng hoặc thoái hóa. Cơ thể mèo sẽ tự tạo một “khớp giả” bằng mô xơ, giúp mèo đi lại mà không còn đau đớn.
Nghiên cứu điển hình tại Petcare: Phục hồi sau 6 tuần
Dưới đây là bảng theo dõi thực tế một ca điều trị thành công tại hệ thống đối tác của Pet Nhà Sen, minh chứng cho tính hiệu quả của can thiệp y khoa đúng lúc.
| Giai đoạn | Tình trạng lâm sàng | Biện pháp can thiệp | Kết quả đạt được |
|---|---|---|---|
| Ngày 1 | Mèo ta 4.5kg, chân sau phải biến dạng, đau cấp tính. | Chụp X-quang, xác định gãy sụn khớp. Phẫu thuật đóng đinh. | Cố định được vị trí xương, mèo tỉnh táo sau gây mê. |
| Tuần 1-2 | Vết mổ khô, mèo bắt đầu thèm ăn trở lại. | Kháng sinh, giảm đau, vệ sinh vết thương hàng ngày. | Mèo bắt đầu chạm nhẹ chân xuống đất nhưng chưa chịu lực. |
| Tuần 3-4 | Cơ bắp có dấu hiệu teo nhẹ do ít vận động. | Vật lý trị liệu nhẹ nhàng tại chuồng, bổ sung Vitamin B, C. | Mèo di chuyển chậm rãi trong không gian hẹp. |
| Tuần 6 | Ảnh chụp X-quang cho thấy xương liền hoàn hảo. | Tháo nẹp (nếu có), bắt đầu cho vận động tự do trong nhà. | Mèo bị trật khớp chân sau hoàn toàn phục hồi chức năng. |
Chế độ chăm sóc hậu phẫu: Bí quyết hồi phục thần tốc
Phẫu thuật chỉ chiếm 50% sự thành công, 50% còn lại nằm ở cách “sen” chăm sóc tại nhà. Khi mèo bị trật khớp chân sau, việc tuân thủ tuyệt đối chỉ dẫn của bác sĩ là nhiệm vụ quan trọng nhất.
- Hạn chế vận động (Cage Rest): Đây là thử thách khó khăn nhất. Mèo cần được nhốt trong chuồng rộng vừa đủ để đứng lên nằm xuống trong tối thiểu 2-4 tuần. Tránh tuyệt đối việc leo trèo cầu thang hoặc nhảy lên ghế sofa.
- Dinh dưỡng vàng cho xương khớp: Tăng cường thực phẩn giàu Pro-protein để tái tạo mô. Đặc biệt, hãy bổ sung Glucosamine và Chondroitin vào khẩu phần ăn hàng ngày của Boss. Tại Pet Nhà Sen, chúng tôi khuyến nghị sử dụng các loại pate tươi giàu taurine để hỗ trợ thần kinh vận động.
- Kiểm soát vết mổ: Luôn đeo loa Elizabeth (vòng cổ chống liếm) để ngăn mèo liếm hoặc cắn chỉ khâu, tránh nguy cơ nhiễm trùng máu cực kỳ nguy hiểm.
Mèo phục hồi vận động sau khi được điều trị xương khớp*Hình 4: Niềm vui của sen là thấy boss khỏe mạnh và tự tin sải bước sau chấn thương.*
Những câu hỏi thường gặp khi mèo gặp sự cố xương khớp
Mèo bị trật khớp chân sau có tự khỏi được không?
Câu trả lời là KHÔNG. Khớp bị lệch khỏi vị trí giải phẫu cần lực tác động chuyên môn để đưa về vị trí cũ. Nếu để lâu, các mô mềm xung quanh sẽ xơ hóa, gây tàn tật vĩnh viễn cho mèo.
Chi phí phẫu thuật năm 2026 là bao nhiêu?
Tùy thuộc vào mức độ phức tạp và cân nặng của mèo, chi phí có thể dao động từ 5 đến 15 triệu VNĐ. Tuy nhiên, việc đầu tư vào một địa chỉ uy tín sẽ giúp tiết kiệm chi phí điều trị biến chứng về sau.
Cảm ơn bạn đã tin tưởng Pet Nhà Sen trong hành trình chăm sóc sức khỏe cho mèo cưng. Nếu bạn phát hiện mèo bị trật khớp chân sau, hãy giữ bình tĩnh, cố định mèo trong hộp vận chuyển và đưa đến phòng khám thú y gần nhất. Sự can thiệp sớm chính là món quà lớn nhất bạn có thể dành cho Boss để duy trì một cuộc sống không đau đớn và tràn đầy năng lượng. Hãy ghé thăm Pet Nhà Sen để cập nhật thêm các kiến thức nuôi dạy thú cưng chuẩn chuyên gia khác!
Ngày cập nhật gần nhất 04/03/2026 by Nguyễn Như Ánh
